30/10/2024
30/10/2024

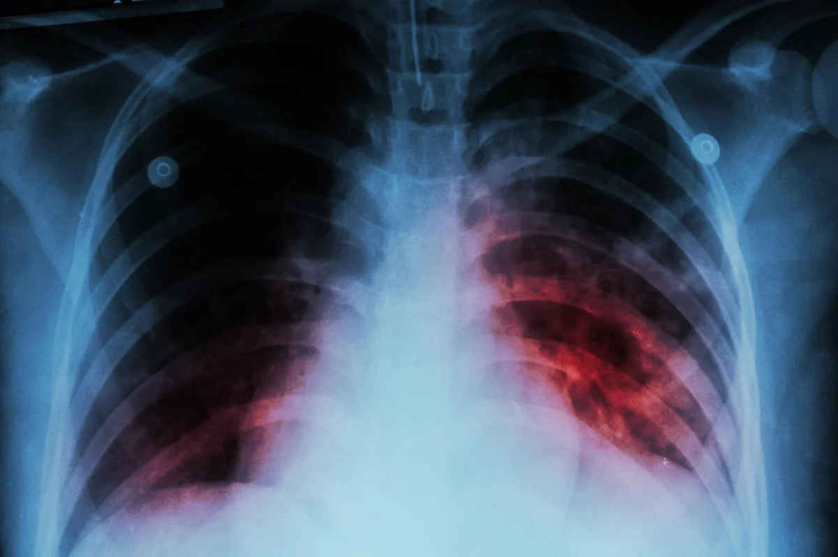
NEW YORK, Oct 30: In a recent report published by the World Health Organization (WHO) on Tuesday, tuberculosis (TB) has surpassed COVID-19 to become the leading cause of infectious disease-related deaths in 2023. The report underscores the ongoing challenges faced in the global fight to eradicate this disease.
According to the WHO, approximately 8.2 million people were newly diagnosed with TB last year, marking the highest figure recorded since the organization began global monitoring of the disease in 1995. This represents an increase from the 7.5 million cases reported in 2022.
The report indicates that the goal of eradicating tuberculosis remains a distant target, largely due to persistent issues such as significant underfunding. "The fact that TB still kills and sickens so many people is an outrage when we have the tools to prevent it, detect it, and treat it," said WHO Director-General Dr. Tedros Adhanom Ghebreyesus during a press conference.
While deaths related to TB decreased to 1.25 million in 2023 from 1.32 million in 2022, the total number of people falling ill with the disease rose slightly to an estimated 10.8 million. The WHO noted that global milestones and targets for reducing the disease burden are currently off-track, emphasizing the need for considerable progress to meet targets set for 2027.
Low- and middle-income countries, which account for 98% of the TB burden, are experiencing significant funding shortages. In 2023, the gap between the estimated number of new tuberculosis cases and those reported narrowed to about 2.7 million, a decrease from COVID-19 pandemic levels that reached around 4 million in 2020 and 2021.